¿Cómo reconocer si tengo insuficiencia venosa?
En nuestra Ruta de la Salud, visitamos el Hospital Dos de Mayo y conversamos con el doctor Julio Peralta, jefe del departamento de Cirugía, tórax y cardiovascular, quien nos explicó qué procedimientos realizan para diagnosticar las varices.
Aprende a combatir las varices con estos consejos
Las varices son una enfermedad vascular que consiste en la dilatación permanente de una vena, causada por la acumulación de sangre en su cavidad y pueden provocar pesadez de piernas, calambres, picores o fuertes dolores.
Por eso, hoy te daremos algunos datos para poder combatirla.
Combate la osteoporosis con estos alimentos
La osteoporosis es una enfermedad en la que la densidad y calidad de los huesos se reducen. En consecuencia, los huesos se vuelven más porosos y frágiles, el riesgo de fracturas aumenta.
Por eso, hoy te dejamos algunos alimentos para prevenir esta enfermedad.
¿Cuáles son los signos del trastorno bipolar?
El trastorno bipolar es un trastorno mental que afecta a cómo se siente, piensa y actúa un individuo. Su rasgo característico son los cambios exagerados en el estado de ánimo, pues, generalmente, una persona pasa por una fase maníaca y otra depresiva.
Minsa: Alertó que hijos de fumadores están en alto riesgo de contraer enfermedades
Humo de tabaco que se impregna en ropa y paredes convierte a niños en fumadores pasivos
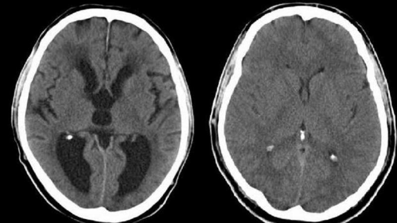
Esto es lo que debes saber sobre la hidrocefalia
La hidrocefalia es la acumulación de una cantidad excesiva de líquido cefalorraquídeo en el cerebro. Normalmente, este fluido protege y amortigua el cerebro. Sin embargo, demasiado líquido ejerce una presión dañina para el cerebro.
Así entrenan nuestros atletas paralímpicos
En la Ruta de la Salud de Junta Médica nos dirigimos a la Escuela Militar de Chorrillos y conversamos con el profesor Miguel Calmet, entrenador paralímpico, sobre el trabajo que realizan los atletas de la Asociación Paralímpica del Perú.
Estos consejos te ayudarán a evitar lesiones en el deporte
Hoy en día una de las causas más comunes para dejar un deporte son las lesiones que terminan por saturar a los deportistas.
El trastorno dismórfico corporal: la fealdad imaginaria
Para algunas personas la imagen corporal es un objetivo importante en la sociedad actual, y esta preocupación por el aspecto físico se convierte en patológica cuando alcanza límites irracionales.
Esclerosis múltiple: 8 datos que debes saber de esta enfermedad
La esclerosis múltiple (EM) es una enfermedad del sistema nervioso que afecta al cerebro y la médula espinal. Lesiona la vaina de mielina, el material que rodea y protege las células nerviosas.
¿Por qué debemos donar nuestros órganos?
En el Perú miles de peruanos están a la espera de un órgano para trasplante.
La muña y sus propiedades curativas frente a la gastritis
En 15 días puede curarla si es leve
Equinoterapia: una manera de mejorar tu salud con caballos
La equinoterapia y los beneficios que produce, posibilita una vida diferente para aquellas personas con discapacidad, debido a que ofrece un abanico muy amplio de opciones a personas con problemas físicos, psíquicos, sensoriales y comportamentales.
VPH: Conoce los datos más importantes de este virus silencioso
Las infecciones por el virus del papiloma humano (VPH) son muy comunes y contagiosas, sin embargo, en la mayoría de los casos no se pueden percibir los síntomas.
Es por eso que en esta ocasión te daremos algunos datos que no sabías de este virus.
¿Cómo se produce la Hepatitis y que tipos hay?
Hoy en Junta Médica conocimos que es la Hepatitis y que tipos existen. Empezaremos diciendo que es una enfermedad inflamatoria del hígado. Este órgano es el más grande dentro de nuestro cuerpo, ayuda al organismo a digerir los alimentos, almacenar energía y eliminar las toxinas.
Dulces que pueden consumir personas con diabetes
Hoy en la Ruta de la Salud, nuestra reportera Aura Guío nos lleva en una aventura sana y deliciosa para conocer algunos postres aptos para el consumo de personas con diabetes.
Aprende cómo se diagnostica la meningitis
En una nueva Ruta de la Salud nos dirigimos al Hospital Almenara donde conversamos con el doctor Juan Carlos Reyes y nos mostró cómo se realiza una punción lumbar, procedimiento para detectar qué tipo de meningitis tiene un paciente.
Tratamientos para combatir las adicciones
Las drogas, el alcohol, medicamentos, entre otros, pueden convertirse en el peor enemigo de las personas.
Combate de esta forma la apnea del sueño
La apnea del sueño es un trastorno evolutivo que con el tiempo aumenta su grado e impide a quien lo padece a dormir de manera correcta. Según el doctor Carlos Carpio, otorrinolaringólogo del Hospital Nacional Hipólito Unanue, un 4% de la población mundial sufre de este problema.
¿Cómo abordar la nutrición cuando hay un trastorno alimenticio?
Cuando se habla de nutrición lo primero que se piensa es en el peso, pero cuando hablamos de este tema durante un proceso de trastorno alimenticio el rasgo que pasa a primer plano es la psiquis.
Páginas
- ‹ anterior
- 1
- 2
- 3
- 4
- 5
- 6
- 7
- siguiente ›












